Doc aktuell PR-Anzeige
Die Behandlung vom Hallux Valgus

Viele Patientinnen und Patienten leiden unter Beschwerden am Vorfuß. Der sogenannte Hallux valgus, eine der häufigsten Fußfehlstellungen, die oft an beiden Füßen auftritt, kann zu erheblichen Einschränkungen im Alltag führen. Über die Behandlungsmöglichkeiten dieser Fußfehlstellung informiert Dr. med. Jan Sperling, leitender Oberarzt für Orthopädie und Unfallchirurgie am LUP-Klinikum am Crivitzer See.
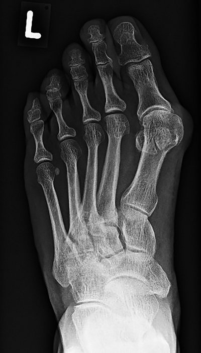
„Jede Gewerkschaft wäre entsetzt. Die Füße leisten an 365 Tagen im Jahr, fast rund um die Uhr, ohne Feiertag, Urlaub oder Wochenende, Schwerstarbeit. Und das häufig unter erschwerten Bedingungen. Die moderne Schuhmode stellt eine zusätzliche Belastung dar“, benennt er mögliche Ursachen der Entstehung des Hallux valgus. So sind etwa neun von zehn Frauen betroffen, die häufig durch falsches Schuhwerk, beispielsweise das dauerhafte Tragen von hohen Absatzschuhen, ihre Füße belasten. Übergewicht, langes Stehen und Spreizfüße sind weitere Faktoren, welche die Entwicklung eines Hallux valgus begünstigen. „Die Großzehe verdreht sich nach innen, das Grundgelenk der Zehe knickt nach außen ab und verdrängt oder überlagert die zweite Zehe. Aufgrund dieser Fehlstellung verlaufen die Muskeln und Sehnen zu den Zehen nicht mehr zentral über das Gelenk, sondern weiter innen und ziehen die Großzehe im Verlauf immer weiter in eine schiefe Position“, beschreibt Dr. med. Jan Sperling die Fußdeformität.
In Folge der Ausbildung des hervortretenden Großzehenballens drücken die Schuhe. Schmerzhafte Entzündungen können die Folge sein. Weiterhin kann es zu einem vorzeitigen Gelenkverschleiß oder einer Arthrose im Großzehengrundgelenk kommen.
Während im Anfangsstadium ein Wechsel zu bequemen Schuhen, häufiges Barfußlaufen und das Tragen von orthopädischen Einlagen die Beschwerden lindern können, bleibt bei einer fortschreitenden Fehlstellung verbunden mit starken Schmerzen häufig nur eine Operation. „Nach der Operation bleibt die Patientin oder der Patient im Regelfall eine Nacht in der Klinik oder geht bereits am Tag der OP nach Hause. Es folgt eine Zeit von vier bis sechs Wochen mit einem speziellen Therapieschuh und gegebenenfalls einer Lagerungsschiene. Trotz anfänglicher Schwellung ist eine frühzeitige Mobilisierung der Füße wichtig, unterstützt durch Physiotherapie und Lymphdrainage“, erklärt Dr. med. Jan Sperling.
Die Vorstellung in der orthopädischen Indikationssprechstunde umfasst eine ausführliche Untersuchung und Diagnostik. Gemeinsam mit der Patientin oder dem Patienten werden Therapieoptionen besprochen und bei Bedarf eine zeitnahe Operation durchgeführt.
„Bisher konnten wir viele Betroffene, die aufgrund einer Fußdeformität in unsere Klinik kamen, erfolgreich behandeln“, sagt Dr. med. Jan Sperling.




