Doc aktuell PR-Anzeige
Wieder schmerzfrei gehen

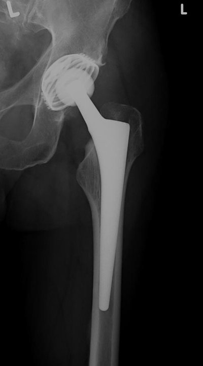
Das Hüftgelenk ist nach dem Kniegelenk des Menschen am häufigsten vom Gelenkverschleiß (Arthrose) betroffen. 15 Prozent aller über 65-Jährigen leiden daran und mit zunehmendem Alter wird die Wahrscheinlichkeit größer. Neben dem Alter und der genetischen Veranlagung spielen verschiedene Risikofaktoren als Auslöser eine Rolle, etwa Brüche oder Ausrenkungen des Hüftgelenkes genauso wie z.B. Rheuma oder Gicht. Immer wiederkehrende Überlastung, aber auch angeborene Fehlstellungen des Hüftgelenkes können später zu einer Arthrose des großen Kugelgelenkes führen. Die betroffenen Patienten leiden unter Schmerzen bei Belastung und in Ruhe und verfallen oft in sogenanntes Schonungshinken. Die erste Diagnose wird dann meistens auf einem Röntgenbild sichtbar.
Anfängliche Beschwerden lassen sich dann durch eine entsprechende Physiotherapie und Krankengymnastik lindern, manchmal unterstützt von antientzündlichen Schmerzmedikamenten. „Wenn sich die Beschwerden jedoch nicht mehr durch die konservativen Maßnahmen lindern lassen, wird eine Operation des erkrankten Hüftgelenkes notwendig“, beschreibt Dr. Frank Rimkus den weiteren Verlauf, er ist Leiter der Orthopädisch-unfallchirurgischen Klinik am MediClin Krankenhaus. In den letzten Jahren mussten in Deutschland jährlich ca. 150.000 Patienten mit einem künstlichen Hüftgelenk versorgt werden. „Der Anteil der jüngeren Patienten unter 60 Jahren ist dabei in den letzten Jahren leicht gestiegen“, weiß der Chefarzt. Und auch die Zahl der Operationen zur Auswechslung von früherem Gelenkersatz ist in den letzten Jahren merklich angestiegen. „Anfang der 90er-Jahre begannen viele orthopädische Kliniken in den neuen Bundesländern mit der Implantation künstlicher Hüftgelenke“, erklärt der Mediziner. „Da diese in der Regel 15 bis 20 Jahre halten, werden sie also in den nächsten Jahren nach und nach ausgewechselt, wenn sie locker sind.“
Ziel einer jeden Operation, in der ein künstliches Hüftgelenk eingesetzt wird, ist das wieder schmerzfreie und relativ flüssige Gehen. Bei der ersten Operation zum Einsatz einer Prothese sollte deshalb so wenig wie möglich eigener Knochen entfernt und die Muskulatur um das Hüftgelenk so gut wie möglich geschont werden.
Speziell für jüngere Patienten wurden deshalb in den letzten zehn Jahren eine Reihe sogenannter Kurzschaftprothesen entwickelt. Im Gegensatz zu einer Standard-Prothese muss bei ihrem Einsatz deutlich weniger Knochen entfernt werden. Ihr Design schont die hüftübergreifende Muskulatur und die Weichteile. Dadurch ist die Rehabilitationsphase nach einer Kurzschaft-Operation meist kürzer und schmerzärmer als nach den herkömmlichen Verfahren. Berufstätigen Patienten wird ein relativ kurzfristiger Wiedereinstieg ins Arbeitsleben möglich. „Wenn sich diese Kurzschaftprothese nach 15 bis 20 Jahren gelockert haben sollte, kann sie in der Regel noch durch eine Standard-Prothese ersetzt werden“, weist der Chefarzt auf einen entscheidenden Vorteil hin.
Aber auch ältere Patienten können bis etwa zum 70. Lebensjahr durchaus mit einer Kurzschaftprothese versorgt werden, wenn ihre Knochenqualität im hüftgelenksnahen Oberschenkelbereich es zulässt. Die Entscheidung, welcher Endoprothesentyp zum Einsatz kommt, wird von Fall zu Fall neu geprüft werden. Die computergestützte OP-Planung orientiert sich an einem Röntgenbild des Hüftgelenkes in zwei Ebenen. „Da wir seit einiger Zeit die Versorgung unserer jüngeren Patienten in unserer Klinik mit Kurzschaftprothesen durchführen, werden wir die Operationsergebnisse am Ende des Jahres wissenschaftlich auswerten und daraus Rückschlüsse für unser Qualitätsmanagement ziehen“, so Dr. Rimkus.
Kurzinfos:
MediClin Krankenhaus am Crivitzer See
Amtsstr. 1
19089 Crivitz
Telefon: (03863) 520-0
Telefax: (03863) 520-158
www.krankenhaus-am-crivitzer-see.de





